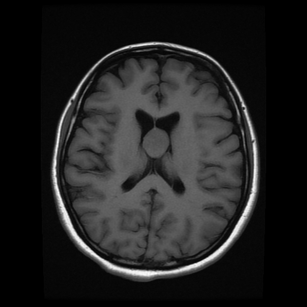
Η κολλοειδής κύστη είναι μια κύστη που βρίσκεται στο κέντρο του εγκεφάλου και μπορεί να προκαλέσει υδροκέφαλο δηλ. διόγκωση των κοιλιών του εγκεφάλου. Εκδηλώνεται με ποικιλία συμπτωμάτων αλλά κυρίως με επεισόδια αιφνίδιου πονοκεφάλου. Η αντιμετώπισή της εφ’ όσον προκαλεί συμπτώματα, περιλαμβάνει συνήθως την αφαίρεσή της ή και την τοποθέτηση βαλβίδας εγκεφάλου για τον υδροκέφαλο.

Συχνά, μία κολλοειδής κύστη ανακαλύπτεται ως τυχαίο εύρημα σε μια εξέταση, που γίνεται για άλλο λόγο πχ για ένα χτύπημα στο κεφάλι
Κ. Κωσταβάρας, Νευροχειρουργός ΙΑΤΡΙΚΟ ΚΕΝΤΡΟ ΑΘΗΝΩΝ
Η κολλοειδής κύστη ταξινομείται στους όγκους εγκεφάλου σύμφωνα με την ταξινόμηση της WHO (Παγκόσμια Οργάνωση Υγείας). Είναι ένας αργά εξελισσόμενος, καλοήθης όγκος εγκεφάλου. Όπως συχνά συμβαίνει στους όγκους εγκεφάλου, μπορεί ο όγκος να είναι καλοήθης -δηλ. δεν αναπτύσσεται με διήθηση και καταστροφή του γύρω ιστού- ωστόσο είναι αρκετές φορές πολύ επικίνδυνος και σ’ αυτές τις περιπτώσεις επιβάλλεται η αντιμετώπισή του (έχουν αναφερθεί περιπτώσεις αιφνίδιου θανάτου σε ασθενείς με κολλοειδή κύστη).
Η υφή της είναι: στρογγυλή ενώ αποτελείται από τοίχωμα και περιεχόμενο σαν βλέννη. Στη μορφή μοιάζει με μια ρόγα από σταφύλι. Το μέγεθός της είναι 1-2 cm.
Η κολλοειδής κύστη εμφανίζεται σε νέους ανθρώπους, ηλικίας 20-50 ετών. Είναι σπάνιος όγκος, αποτελεί <1% των όγκων εγκεφάλου.
Η κολλοειδής κύστη βρίσκεται σε σημείο του εγκεφάλου που εμποδίζει τη φυσιολογική ροή του εγκεφαλονωτιαίου υγρού, με αποτέλεσμα να προκαλεί υδροκέφαλο. Αυτό μπορεί να γίνει είτε απότομα (οξύς υδροκέφαλος) με αιφνίδιο πονοκέφαλο και εμετούς, είτε σε χρόνια βάση. Η εξήγηση που δίνεται για τα επεισόδια αιφνίδιου πονοκεφάλου (δηλ. οξέος υδροκεφάλου) είναι ότι η κολλοειδής κύστη δεν είναι καθηλωμένη, με αποτέλεσμα η αλλαγή της θέσης του κεφαλιού να προκαλεί μετακίνηση της κύστης και απότομη απόφραξη της ροής του εγκεφαλονωτιαίου υγρού. Η θεωρία της ευκίνητης κύστης, που «μετακινείται», δεν επιβεβαιώνεται γενικά στις χειρουργικές επεμβάσεις αφαίρεσης της κύστης.
Τα συχνότερα συμπτώματα της κολλοειδούς κύστη είναι:
• πονοκέφαλος (ενίοτε αιφνίδιος, με εμετούς)
• δυσκολία στο περπάτημα
• σύγχυση, λήθαργος, αλλαγή στη συμπεριφορά
• ελάττωση της όρασης
• ζάλη
• άλλα συμπτώματα όπως ακράτεια ούρων, εμβοές, επιληπτικές κρίσεις κ.ο.κ
Να τονιστεί πως αιφνίδια επιδείνωση παρουσιάζεται στο 10% των ασθενών με κολλοειδή κύστη. Αυτό αποτελεί μεγάλο ποσοστό και δείχνει την επικινδυνότητα του όγκου αυτού, παρ’ ότι είναι καλοήθης.
Γενικά, οι κύστεις πάνω από 1,5 cm προκαλούν συμπτώματα, χωρίς αυτό να είναι απόλυτο.
Η διάγνωση μπαίνει με την αξονική και τη μαγνητική τομογραφία. Η κολλοειδής κύστη είναι από τις λίγες περιπτώσεις όπου μπορεί να υπερτερεί η αξονική τομογραφία της μαγνητικής στην απεικόνιση.
Η κολλοειδής κύστη μπορεί να παραμείνει στάσιμη σε μέγεθος, μπορεί και να μεγαλώσει και να προκαλέσει υδροκέφαλο και τα άλλα συμπτώματα που αναφέρθηκαν παραπάνω. Επίσης, υπάρχει η περίπτωση αιφνίδιας επιδείνωσης στο 10% των ασθενών.
Η παλιά άποψη ήταν ότι οι θάνατοι οφειλόταν σε «μετακίνηση» της κύστης και οξύ υδροκέφαλο. Άλλη, πιο σύγχρονη άποψη, είναι ότι η κύστη πιέζει την περιοχή του εγκεφάλου που λέγεται υποθάλαμος που ρυθμίζει την καρδιακή λειτουργία και έτσι προκαλείται καρδιακή ανακοπή.
Γενικά συνιστάται η χειρουργική αφαίρεση της κολλοειδούς κύστης διότι :
1. έτσι αποφεύγεται η τοποθέτηση βαλβίδας, εφ’ όσον αίρεται το αίτιο του υδροκεφάλου.
2. η αύξηση του όγκου προκαλεί συμπτώματα από την πίεση του γύρω εγκεφάλου.
3. αποφεύγεται η πιθανότητα αιφνίδιου θανάτου.
Η χειρουργική αφαίρεση της κύστης γίνεται με διάφορες προσπελάσεις. Βοηθάει πολύ σ’ αυτές τις περιπτώσεις η χρήση του νευρο-ενδοσκοπίου. Αν πρέπει να αντιμετωπιστεί ο υδροκέφαλος, τοποθετείται βαλβίδα εγκεφάλου.''
Θα πρέπει να επισκεφθείτε ένα Νευροχειρουργό.