Ένα χτύπημα στο κεφάλι (κάκωση κεφαλής) μπορεί να προκύψει από ένα τροχαίο ατύχημα, πτώση από ύψος, ξυλοδαρμό κ.ο.κ. Στις απλές κακώσεις έχουμε ήπια συμπτώματα πχ έναν ελαφρό πονοκέφαλο ή ζάλη και δίνονται οδηγίες για τα πρώτα εικοσιτετράωρα.
Οι πιο σοβαρές κακώσεις αντιμετωπίζονται σε περιβάλλον Νοσοκομείου. Γίνεται μια επείγουσα αξονική τομογραφία εγκεφάλου και αναλόγως τα ευρήματα η αντιμετώπιση είναι είτε με φάρμακα είτε και με κάποια χειρουργική επέμβαση. Η νοσηλεία συνεχίζεται σε απλό θάλαμο είτε σε μονάδα εντατικής θεραπείας και αν υπάρχει νευρολογικό έλλειμμα (ημιπληγία, τετραπληγία, δυσκολία στην ομιλία ή την κατάποση...) μπορεί να χρειαστεί επιπλέον μετάβαση σε ειδικό κέντρο αποκατάστασης.
Μια ειδική περίπτωση είναι το μετακακωσικό σύνδρομο, δηλαδή το σύνολο των συμπτωμάτων που εμφανίζονται μετά από μία μετρίου ή και σοβαρού βαθμού κάκωση κεφαλής και που μπορεί να περιλαμβάνει ψυχολογικά προβλήματα, δυσκολία συγκέντρωσης κ.ο.κ.

Το αν μία κάκωση κεφαλής είναι σοβαρή, το δείχνει όχι το εξωτερικό τραύμα η αιμορραγία κλπ, αλλά κυρίως τα συμπτώματα
Κ. Κωσταβάρας, Νευροχειρουργός ΙΑΤΡΙΚΟ ΚΕΝΤΡΟ ΑΘΗΝΩΝ
Απλή κάκωση (mild head injury) θεωρείται εκείνη κατά την οποία ο ασθενής είναι σε εγρήγορση (δεν έχει χάσει τις αισθήσεις του) και δεν παρουσιάζει περιτραυματική αμνησία, εμετό ή κάποιο νευρολογικό σύμπτωμα πχ αδυναμία στο χέρι ή το πόδι, δυσκολία στην ομιλία κλπ. Ο ασθενής με απλή κάκωση μπορεί να έχει ανοικτό τραύμα, ένα μώλωπα ή ένα «καρούμπαλο» και επίσης, έναν ελαφρό πονοκέφαλο (σα βάρος).
Το κρανίο περιβάλλεται από δέρμα σε όλη την έκτασή του. Κάτω από το δέρμα υπάρχει ένα πλουσιότατο δίκτυο από αγγεία. Είναι συνεπώς εύκολο, ένα χτύπημα στο κεφάλι να προκαλέσει ρήξη ενός αγγείου και αιμορραγία. Αν το δέρμα ανοίξει σε αυτό το σημείο (έχει δηλαδή ανοικτό τραύμα), προκύπτει αιμορραγία, που μπορεί να είναι μεγάλη. Αν πάλι το τραύμα είναι κλειστό (δεν ανοίξει δηλαδή το δέρμα), το αίμα μαζεύεται κάτω από το δέρμα και αυτός ο συνδυασμός οιδήματος και αίματος, προκαλεί το «καρούμπαλο».
Τονίζεται πως, το αν υπάρχει ανοικτό τραύμα ή καρούμπαλο σε μία κάκωση κεφαλής, δεν έχει καμία σχέση με τη βαρύτητα της κάκωσης. Υπάρχουν άνθρωποι που εμφάνισαν μεγάλο τραυματικό αιμάτωμα χωρίς καμία ορατή εξωτερική κάκωση και αντίστροφα, υπάρχουν άνθρωποι με μεγάλο τραύμα στο δέρμα του κεφαλιού, χωρίς καμία άλλη νευρολογική συνέπεια. Συνεπώς, το αν μία κάκωση κεφαλής είναι σοβαρή, το δείχνει όχι το εξωτερικό τραύμα, αλλά τα συμπτώματα.
Αν υπάρχει ανοικτό τραύμα και αιμορραγία, χρειάζεται να εξεταστεί από χειρουργό ή νευροχειρουργό. Ίσως χρειαστεί συρραφή (ράμματα). Αν εμφανιστεί ένα «καρούμπαλο» στην περιοχή του τραύματος, η τοποθέτηση πάγου για 20 λεπτά, μειώνει λόγω αγγειοσύσπασης την παροχή αίματος και άρα το μέγεθος του καρούμπαλου. Το αποτέλεσμα είναι ένα μικρότερο καρούμπαλο, αλλά αυτό δεν έχει καμία σχέση με την κάκωση του εγκεφάλου, όπως περιγράφεται στην παραπάνω παράγραφο. Συνεπώς, το να βάλει κανείς πάγο στο κεφάλι κάποιου που χτύπησε, δεν παίζει κανένα προστατευτικό ρόλο στη κάκωση καθ' αυτή.
Οι παρακάτω οδηγίες, δίνονται είτε προφορικά, είτε και γραπτά μετά από κάθε απλή κάκωση κεφαλής
Χρειάζεστε παρακολούθηση στο σπίτι για 24 ώρες, από κάποιο δικό σας πρόσωπο. Το βράδυ πρέπει να σας ξυπνάει κάθε 1-2 ώρες για να βλέπει την κατάστασή σας. Αν εμφανιστεί κάποιο από τα παρακάτω συμπτώματα, απευθυνθείτε αμέσως σε Νευροχειρουργό :
• λήθαργος ή δυσκολία στην αφύπνιση
• σύγχυση, αλλαγή στη συμπεριφορά
• ναυτία, έντονη ζάλη, εμετοί
• λιποθυμία
• εκροή διαφανούς υγρού (σαν νερό) από τη μύτη ή το αυτί
• αδυναμία (παράλυση) σε κάποιο χέρι ή πόδι
• δυσκολία στην ομιλία
• αμνησία («δεν θυμάμαι πως χτύπησα, ποιος με έφερε εδώ..» κλπ)
• σπασμοί
• πονοκέφαλος που δεν σταματάει με ένα απλό παυσίπονο (πχ Depon)
Ένας ήπιος πονοκέφαλος, ένα μούδιασμα στην περιοχή της κάκωσης ή μια ελαφρά ζάλη θεωρούνται αναμενόμενα και όχι επικίνδυνα συμπτώματα και δε χρειάζονται έλεγχο με αξονική τομογραφία κλπ. Τη βαρύτητα της κάκωσης δεν την καθορίζει η ποσότητα αίματος, που χάθηκε κατά τον τραυματισμό ή το μέγεθος του τραύματος. Για τον πονοκέφαλο χρησιμοποιείστε απλά παυσίπονα με βάση την παρακεταμόλη, και όχι ασπιρίνη ή αντιφλεγμονώδη.
Ενημερώστε το γιατρό που σας εξετάζει για κάθε άλλο πρόβλημα υγείας ή φάρμακο που παίρνετε και ειδικά γιά αντιπηκτικά ή αντιαιμοπεταλιακά. Ειδικά για τα ηλικιωμένα άτομα, η περίοδος παρακολούθησης είναι πολύ μεγαλύτερη από ένα 24ωρο, καθώς μπορεί να εμφανίσουν σύγχυση, υπνηλία ή συμπτώματα ενός αγγειακού εγκεφαλικού επεισοδίου ημέρες, εβδομάδες ή και μήνες μετά από μια ήπια κάκωση (βλ. χρόνιο υποσκληρίδιο αιμάτωμα). Το ίδιο ισχύει και σε άτομα που κάνουν χρόνια χρήση οινοπνεύματος.
Μια κάκωση κεφαλής μπορεί να έχει μια ή περισσότερες από τις ακόλουθες συνέπειες :
• εξωτερικό τραύμα, με ή χωρίς αιμορραγία
• εγκεφαλική διάσειση
• κάταγμα κρανίου
• τραυματικό αιμάτωμα
• εγκεφαλικό οίδημα
• κακώσεις αγγείων
• κακώσεις νεύρων.
Στις πρώτες ώρες, ο έλεγχος γίνεται πάντα με αξονική τομογραφία. Η αξονική τομογραφία είναι ταχύτατη εξέταση και δείχνει κάθε σοβαρή βλάβη αμέσως (πχ αιμάτωμα, οίδημα, κάταγμα κρανίου). Η μαγνητική τομογραφία μπορεί να γίνει στην όψιμη φάση δηλ. μετά από μέρες ή εβδομάδες.

Μια κάκωση κεφαλής (ειδικά αν είναι σοβαρή) μπορεί να συνοδεύεται και από κάκωση στη σπονδυλική στήλη πχ στον αυχένα
Κ. Κωσταβάρας, Νευροχειρουργός ΙΑΤΡΙΚΟ ΚΕΝΤΡΟ ΑΘΗΝΩΝ
Η εγκεφαλική διάσειση (concussion) είναι μια (συνήθως παροδική) διαταραχή στη λειτουργία του εγκεφάλου που προκύπτει από μια κάκωση κεφαλής. Ο ασθενής με διάσειση μπορεί να κοιτάει απλανώς, σα να μην καταλαβαίνει τι συμβαίνει, να απαντάει πολύ αργά στις ερωτήσεις, να μην μπορεί να συγκεντρωθεί, να χάνει τον προσανατολισμό του, η ομιλία του να είναι αργή, κολλώδης ή ακατανόητη, να μην μπορεί να περπατήσει σωστά, να μπερδεύει τα βήματά του, να ξεσπάει σε κλάματα ή γέλια, χωρίς λόγο και να ξεχνάει τι συνέβη πριν από 5 λεπτά, να ρωτάει συνέχεια το ίδιο πράγμα.
Τονίζεται ιδιαίτερα ότι αυτά μπορεί κάλλιστα να είναι συμπτώματα μιας ακόμα σοβαρότερης κατάστασης πχ ενός αιματώματος. Δηλ. η διάσειση δεν έχει ειδικά συμπτώματα. Μόνο αν γίνει αξονική τομογραφία και είναι αρνητική, θα τεθεί από το νευροχειρουργό η διάγνωση της εγκεφαλικής διάσεισης.
Η διάσειση είναι η πιο συχνή βλάβη στην κάκωση κεφαλής. Η κλινική της εικόνα μπορεί να είναι ανησυχητική, αλλά δεν έχει σοβαρές άμεσες συνέπειες για τον ασθενή δηλ. δεν κινδυνεύει η ζωή του, όπως γίνεται πχ με ένα αιμάτωμα. Ωστόσο, η διάσειση μπορεί να έχει πολύ ενοχλητικές όψιμες συνέπειες όπως την εμφάνιση του μετακακωσικού συνδρόμου.
Πρώτα πρέπει να γίνει αξονική τομογραφία εγκεφάλου. Αν αυτή είναι αρνητική δηλ. δεν υπάρχει αιμάτωμα, οίδημα ή κάταγμα κρανίου, τότε μπαίνει η διάγνωση της εγκεφαλικής διάσεισης. Η περαιτέρω αντιμετώπιση περιλαμβάνει παρακολούθηση για ένα τουλάχιστον 24ωρο.
Παρακολούθηση σημαίνει συμπτωματική αγωγή (πχ παρακεταμόλη για τον πονοκέφαλο) και επαγρύπνηση για την περίπτωση επιδείνωσης. Ειδικά αν μεσολαβεί βράδυ, καλό είναι να ξυπνάμε τον ασθενή κάθε 1-2 ώρες για να δούμε αν παραμένει στην ίδια κατάσταση. Στην (πολύ σπάνια) περίπτωση που ο ασθενής επιδεινωθεί νευρολογικά (πχ δεν αφυπνίζεται ή αρχίζει και κάνει εμετούς) θα χρειαστεί νέα εκτίμηση από νευροχειρουργό και πιθανώς δεύτερη αξονική τομογραφία. Όπως γίνεται αντιληπτό, η 24ωρη παρακολούθηση καλό είναι να γίνεται στο Νοσοκομείο και όχι στο σπίτι.
Υπάρχουν διάφοροι λόγοι για αυτό το σπάνιο αλλά επικίνδυνο ενδεχόμενο :
• ανάπτυξη ενός αιματώματος. Τα τραυματικά αιματώματα δίνουν συνήθως αμέσως συμπτώματα (πονοκέφαλος, εμετοί, λήθαργος), ωστόσο σε πολλές περιπτώσεις αυτό αργεί. Ακόμα και αν η αξονική τομογραφία είναι αρνητική, αν εμφανιστεί επιδείνωση πρέπει να επαναληφθεί
• ανάπτυξη εγκεφαλικού οιδήματος
• επιληπτική κρίση
• σπάνια ενδοκρανιακά αίτια πχ υδροκέφαλος, πνευμεγκέφαλος, κάκωση αγγείου
• άλλα αίτια πχ μεταβολικές διαταραχές (υπονατριαιμία, υπογλυκαιμία, απόσυρση από φάρμακα ή οινόπνευμα)
• υπόταση, σοκ.
*σύμφωνα με τα παραπάνω, αν ένας ασθενής επιδεινωθεί νευρολογικά μετά από 1η αξονική αρνητική, πρέπει να επανεξεταστεί από το νευροχειρουργό και αν κριθεί αναγκαίο, να γίνει 2η αξονική τομογραφία. Αν και αυτή είναι αρνητική, πρέπει να αναζητηθεί άλλο αίτιο δηλ. να ελεγχθεί αν ο ασθενής έχει υπόταση λόγω κάποιας εσωτερικής αιμορραγίας, να γίνουν αιματολογικές εξετάσεις κλπ.
Μετακακωσικό σύνδρομο (ή μεταδιασεισικό σύνδρομο, post-concussion syndrome) ονομάζεται το σύνολο των συμπτωμάτων που εμφανίζονται μετά από μία μετρίου ή και σοβαρού βαθμού κάκωση κεφαλής. Συνήθως περιλαμβάνει :
1. νευρολογικά συμπτώματα όπως πονοκέφαλος, ζάλη, ίλιγγος, ελάττωση της όρασης, ανοσμία, εμβοές (βουίσματα), αστάθεια βάδισης
2. γνωσιακές διαταραχές όπως δυσκολία στη συγκέντρωση, στη μνήμη και στην πνευματική εργασία
3. ψυχολογικά προβλήματα όπως μελαγχολία, ασταθές συναίσθημα, έλλειψη βούλησης, διαταραχές προσωπικότητας, απώλεια της σεξουαλική ορμής (libido), εύκολη κόπωση, δυσανεξία στο φώς και τους θορύβους.
Η αντιμετώπιση δεν είναι εύκολη. Κατ΄ αρχήν πρέπει να γίνουν όλες οι απαραίτητες εξετάσεις για να αποκλεισθεί κάποια ανατομική (οργανική) και αναστρέψιμη αιτία των συμπτωμάτων. Αυτό προϋποθέτει πλήρη νευρολογική εξέταση. Έτσι πχ αν ο ασθενής έχει ίλιγγο, χρειάζεται έλεγχος από ειδικό ΩΡΛ, αξονική λιθοειδών οστών κλπ. Αν υπάρχει αστάθεια βάδισης, πρέπει εκτός των άλλων να εξεταστεί κλινικά και απεικονιστικά ο αυχένας. Οι οφθαλμολογικές διαταραχές, ανήκουν στην αρμοδιότητα του οφθαλμιάτρου. Πολλές φορές, εκτός από αξονική τομογραφία χρειάζεται και μαγνητική τομογραφία εγκεφάλου.
Η θεραπεία όπως γίνεται αντιληπτό, είναι συμπτωματική δηλ. δεν υπάρχει ειδική θεραπεία. Υπάρχουν αρκετά φάρμακα για πολλά από τα συμπτώματα του συνδρόμου. Στις γνωσιακές και τις ψυχολογικές διαταραχές, λόγο έχει ο ειδικός ψυχολόγος.
Τα κατάγματα κρανίου, χωρίζονται ανάλογα με την εντόπισή τους, σε κατάγματα θόλου και κατάγματα βάσης κρανίου.
Το κάταγμα θόλου κρανίου αφορά σε γενικές γραμμές, στην περιοχή που βρίσκεται κάτω από τα μαλλιά (τριχωτό της κεφαλής). Αν δεν συνοδεύεται από κάκωση του εγκεφάλου (πχ οίδημα ή αιμάτωμα), οι συνέπειές του δεν είναι σοβαρές και επουλώνεται από μόνο του, χωρίς να χρειάζεται παρέμβαση. Εξαίρεση στο παραπάνω αποτελεί το εμπίεσμα κρανίου. Στην περίπτωση αυτή, τα άκρα του κατάγματος εισέρχονται μέσα στην κοιλότητα του κρανίου και πιέζουν τον υποκείμενο εγκέφαλο. Το εμπίεσμα εγκεφάλου γενικά χρειάζεται νευροχειρουργική επέμβαση, για λόγους προληπτικούς (για να προληφθούν επιπλοκές από την πίεση των καταγματικών άκρων) αλλά και αισθητικούς.
Το κάταγμα βάσης κρανίου αφορά στο κάτω τμήμα του κρανίου. Θεωρείται γενικά πιο σοβαρό από το κάταγμα θόλου, γιατί από το κάτω μέρος του κρανίου περνάνε σημαντικά αγγεία και νεύρα, που μπορεί με τον τρόπο αυτό να τραυματιστούν. Η παρουσία αίματος πίσω από το αυτί ή γύρω από τα μάτια (σαν τα μάτια του «ρακούν»), η έξοδος διαφανούς υγρού (σαν νερό) από τη μύτη ή το αυτί, είναι ορισμένα κλινικά σημεία που θέτουν την υποψία κατάγματος βάσης κρανίου.
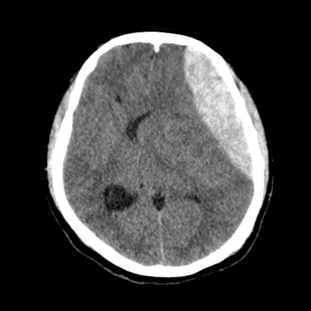
Τραυματικό αιμάτωμα ονομάζεται η παρουσία αίματος μέσα στην κοιλότητα του κρανίου μετά από μια κάκωση κεφαλής. Στην αντίθετη περίπτωση, δηλ. όταν δεν υπάρχει κάκωση, το αιμάτωμα ονομάζεται αυτόματο, όπως αναλύεται στην ενότητα εγκεφαλική αιμορραγία. Το αιμάτωμα μπορεί να βρίσκεται έξω από τον εγκέφαλο και να τον πιέζει (υποσκληρίδιο ή επισκληρίδιο αιμάτωμα) ή μέσα στον εγκέφαλο (τότε ονομάζεται αιμορραγική θλάση).
Ο εγκέφαλος περιβάλλεται από μια μεμβράνη που ονομάζεται σκληρά μήνιγγα. Αν το αιμάτωμα εμφανιστεί πάνω από τη σκληρά μήνιγγα, ονομάζεται επισκληρίδιο. Αν εμφανιστεί από κάτω, ονομάζεται υποσκληρίδιο αιμάτωμα. Τα δύο είδη αιματωμάτων έχουν ορισμένες διαφορές (πχ το επισκληρίδιο αναπτύσσεται συνήθως ταχύτερα, το υποσκληρίδιο συνοδεύεται συχνότερα και από εγκεφαλική βλάβη) ωστόσο, σε γενικές γραμμές και τα δύο χρειάζονται συνήθως επείγουσα νευροχειρουργική επέμβαση για να αφαιρεθούν.
Ένα αιμάτωμα μπορεί να πιέζει τον εγκέφαλο και να απειλεί την ίδια τη ζωή, να προκαλεί νευρολογικό έλλειμμα πχ παράλυση στο χέρι ή και το πόδι, δυσκολία στην ομιλία ή και να προκαλεί επιληπτικές κρίσεις.

Η επέμβαση για ένα αιμάτωμα εγκεφάλου συχνά γίνεται σε επείγουσα βάση για να σωθεί η ζωή
Κ. Κωσταβάρας, Νευροχειρουργός ΙΑΤΡΙΚΟ ΚΕΝΤΡΟ ΑΘΗΝΩΝ
Η αιμορραγική θλάση είναι η εμφάνιση ενός τραυματικού αιματώματος μέσα στον εγκέφαλο. Το αιμάτωμα αυτό βρίσκεται σε μια περιοχή με τεθλασμένο (δηλ. κατεστραμμένο) εγκέφαλο. Η αιμορραγική θλάση, προκαλεί νευρολογικό έλλειμμα ή επιληπτικές κρίσεις και όταν είναι μεγάλη, μπορεί να απειλήσει τη ζωή. Η αντιμετώπισή της είναι φαρμακευτική, ενδεχομένως με διασωλήνωση και μηχανική αναπνοή και σε βαριές περιπτώσεις με νευροχειρουργική επέμβαση.
Εγκεφαλικό οίδημα ονομάζεται η διόγκωση (πρήξιμο) του εγκεφάλου μετά από ένα, σοβαρού βαθμού, χτύπημα στο κεφάλι. Το οίδημα είναι επικίνδυνο διότι αυξάνει την ενδοκρανιακή πίεση. Αντιμετωπίζεται με αποιδηματικά φάρμακα όπως η μαννιτόλη, ενδεχομένως διασωλήνωση και μηχανική αναπνοή και σε σπάνιες περιπτώσεις με χειρουργική επέμβαση αποσυμπιεστικής κρανιεκτομίας. Μπορεί να θέσει σε κίνδυνο τη ζωή, αλλά και την ποιότητα της ζωής του ασθενούς. Η διάρκειά του είναι γενικά 1-2 εβδομάδες μετά από μία κάκωση.
Η πίεση που ασκείται στον εγκέφαλο, μέσα στην κλειστή κοιλότητα του κρανίου ονομάζεται ενδοκρανιακή πίεση. Η αύξησή της, ονομάζεται ενδοκράνια υπέρταση. Η μέτρησή της γίνεται με ειδικό καθετήρα, που εισάγεται στον εγκέφαλο με νευροχειρουργική επέμβαση και συνδέεται με ηλεκτρονικό υπολογιστή. Αυτό γίνεται συνήθως (αλλά όχι μόνο) σε ασθενείς με εγκεφαλικό οίδημα με σκοπό να ανιχνεύονται αμέσως οι αλλαγές της ενδοκρανιακής πίεσης και να προσαρμόζεται ανάλογα η θεραπεία.
Θα πρέπει να επισκεφθείτε ένα Νευροχειρουργό.
*δείτε επίσης τις ενότητες κάκωση σπονδυλικής στήλης και αφαίρεση αιματώματος - κρανιοεγκεφαλική κάκωση